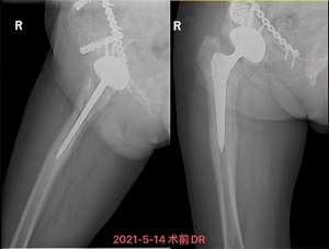
“出院回家了!”5月28日,我院关节骨病科病房传出严爷爷阵阵爽朗的笑声。年近古稀的严爷爷早在2005年因摔伤致股骨颈骨折在某医院做了右人工全髋关节置换手术。2019年初,严爷爷愈发觉得右髋关节隐隐作痛,且疼痛越来越重,到2020年底,连膝关节也痛得没法自如活动了,出现了明显的跛行。
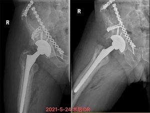
5月13日,饱受关节疼痛困扰的严爷爷在家人陪同下到我院就诊并入住关节骨病科。董克芳主任团队在仔细评估讨论后,制定了详细手术方案,并于5月21日为严嗲嗲进行了右人工髋关节翻修术,术后当日即指导其开始进行功能锻炼,1周后,严爷爷可下地行走,关节疼痛感也没了。28日,主管医生林少如反复叮嘱老人家一些注意事项后,严爷爷在家人陪同下出院回家了。
年近八旬的欧娭毑患重度膝关节骨性关节炎多年,2017年在某医院做了右侧人工全膝关节置换,但术后恢复一直不佳,关节疼痛越来越明显。2018年初又因膝关节疼痛、行走不便摔伤导致右股骨骨折。2020年7月,欧娭毑再次在家摔倒致右耻骨骨折,关节疼痛带来的诸多问题让欧娭毑和子女揪心不已。至2020年底,欧娭毑出现右膝关节红肿发热,疼痛难耐。2021年元旦一过,倍受疼痛困扰的欧娭毑由家人送至湖南省中医院关节骨病科住院治疗,经诊断为“右人工膝关节置换术后感染并假体松动”。
鉴于欧娭毑病情复杂,又年近八旬,且合并心肺等内科基础疾病较多,董克芳主任手术团队经讨论后,为欧娭毑制定了分期手术方案。1月26日,专家团队顺利为欧娭毑完成了右股骨内骨定取出术+右膝关节骨水泥旷置术。2月10日,大年三十前夕,欧娭毑顺利出院回家和家人一起过新年了。
3个月后,5月25日,按照既定手术方案,专家团队顺利为欧娭毑完成了人工全膝关节表面再置换术。目前,欧娭毑恢复良好,已在医师指导下进行下地负重及行走锻炼,医师查房时,欧娭毑忍不住感慨:“我这把年纪,实在是经不起折腾了,我来中医院住过很多回了,就相信你们中医院!”
关节骨病科董克芳主任介绍,随着人工关节置换术的广泛开展,由于感染、创伤、假体磨损、假体周围骨折、关节纤维化等多种因素导致的需行关节置换翻修术的患者越来越多。相比初次人工关节置换,关节翻修术难度更大,出现并发症的可能性也越大。我院关节骨病科顺利完成髋、膝关节翻修术,是保障人工关节置换术后患者健康的又一技术突破。董克芳主任介绍,人工关节置换术后患者应注意合理功能锻炼,定期复查,当出现关节肿胀疼痛甚至功能障碍等不适症状时,应及时至专科就诊。
作者:董克芳 杨振武
专家介绍:

董克芳,中共党员,湖南中医药大学第二附属医院副主任医师,硕士研究生导师,骨伤三科主任。国家中医药管理局第五批名老中医学术继承人,湖南省中医院首批中青年名医。中华中医药学会第一届运动医学分会委员,湖南省中医药学会骨伤委员会常务委员,湖南省医学会骨与关节学组委员,湖南省康复医学会骨科委员会膝关节学组委员,湖南省冲击波委员会委员等。主编专业著作2部,发表专业论文20余篇,主持省级课题1项,参与10余项。擅长髋部骨折、运动系统损伤、骨与关节疾病的中西结合治疗。每年主刀关节镜及关节置换手术400余台次。