每天都会有患者朋友因为身上摸到各种各样的肿块来到我们超声医学科进行超声检查,今天就给大家介绍一种体表最常见的肿块-——脂肪瘤。
病因及临床表现
脂肪瘤主要由脂肪细胞构成,是一种良性肿瘤。普遍认为脂肪瘤的形成与脂肪的过度堆积和代谢异常相关。不良的生活和饮食习惯可能是脂肪瘤的诱因,如过度摄入高胆固醇食物,喜食内脏、海鲜,过度饮酒等可导致体内新生脂肪增加;长期熬夜、过度疲劳可致人体脂肪分解能力下降。此外,肥胖、糖尿病、高脂血症、长期情绪异常的人群脂肪代谢易出现异常。部分人可有脂肪瘤的家族史。脂肪瘤可以生长在身体的任何位置,主要集中在脂肪组织比较多的部位,例如胸背部、后颈部、乳房、臀部、腹部、四肢等。脂肪瘤既可单发,也可多发,位于体表的脂肪瘤质地软,可推动,边界清楚,无压痛,一般没有明显的症状,多是偶然发现的,但当肿块逐渐长大也可能引起疼痛,部分分布在关节周围的脂肪瘤也可能引起活动受限。
超声表现
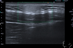
脂肪瘤对超声医生来说可是老朋友了,一般很快就能够作出诊断。根据脂肪瘤脂肪成分和支持成分的不同,在超声图像上可能表现为低回声或高回声的椭圆形或扁形肿块,特征性表现是内部有平行于皮肤的线状稍高回声,肿瘤内多无血流信号,少数可见点状的血流信号。

颈根部脂肪层内见高回声,边界清晰,内回声均匀。CDFI显示肿块内未见明显血流信号
鉴别诊断
脂肪瘤需要和以下肿块鉴别:
1、血管瘤:血管瘤为良性病变,其生长缓慢,边界不清,质地软,压之可褪色或缩小。大多数血管瘤无明显症状,当其位于浅表时需要和脂肪瘤进行鉴别,血管瘤的超声表现是软组织内见低回声或混合回声肿块,内部可类似蜂窝样改变,根据肿块内血管的分布情况,彩色多普勒超声可表现为无血流信号,也可表现为丰富的动静脉血流。
2、表皮样囊肿:表皮样囊肿是来源于上皮的真性良性肿瘤,好发于全身皮下浅表软组织内。可发生于任何年龄层,多为单发,以头面部多见,无明显症状,当其出现感染时,局部可有红肿热痛等炎症性表现。表皮样囊肿多边界清晰,以圆形多见,内部回声表现多样,以低回声多见,有时可见典型的洋葱皮样表现,一般情况下无明显血流信号。
预防及治疗
想要预防或者抑制脂肪瘤的生长需要做到以下几点:1、 健康饮食:控制热量的摄入,减少脂肪在体内的堆积;2、 少饮酒:喝酒伤肝,胆汁分泌、排泄异常均会导致脂肪代谢异常,引起脂肪的堆积;3、 控制基础疾病:如高血脂、糖尿病、过度肥胖等,需要及时、积极地进行干预;4、 积极锻炼,运动可以消耗体内脂肪;5、 保持好心情,长期情绪异常可能导致内分泌紊乱,更易诱发脂肪堆积。脂肪瘤的治疗方式:由于脂肪瘤几乎不会恶变,小的脂肪瘤可以不做处理,大的脂肪瘤可进行手术切除。需要注意的是,脂肪瘤是不能通过按摩、挤压解决的,大力出不了奇迹,这样只会导致出血、液化,甚至感染,反而加速了脂肪瘤的生长。